Each coronary lesion with a Diameter Stenosis ≥50% in vessels ≥1.5 mm must be scored. Each lesion can involve ≥1
diseased segments.
If serial stenoses are less than 3 vessel reference diameters apart, they should be scored as one lesion. However, stenoses at a greater distance from each other (more than 3 vessel reference diameters), are considered as separate lesions.

* ≥3 vessel reference diameters.
This case should be described as
two lesions:
- one lesion involving segments 5, 6, and 11 and
- one lesion involving segment 6.

* <3 vessel reference diameters.
This case should be described as
one lesion:
- one lesion involving segments 5, 6, and 11.
Right dominance: the posterior descending coronary artery is a branch of the right coronary artery (segment 4).
Left dominance: the posterior descending artery is a branch of the left coronary artery (segment 15). Co-dominance does not exist as an option in the SYNTAX score.
No intra-luminal antegrade flow (TIMI 0) beyond the point of occlusion. However, antegrade flow beyond the total occlusion might be maintained by bridging collaterals and/or ipsi collaterals.
At the question
‘Specify which segments are diseased for lesion X' one should only fill out the segment number of the start of the Total Occlusion.
Small channels running in parallel to the vessel and connecting proximal vessel to distal and being responsible for the ipsilateral collateralization.

Note: In case of a Total Occlusion, we will not score any lesion distally (if applicable) since we are not sure about the actual situation prior to total occlusion opening.
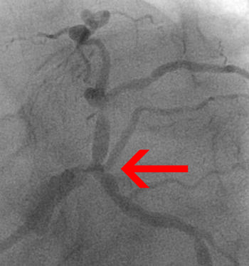
A trifurcation is a division of a mainbranch into three branches of at least 1.5mm. Trifurcations are only scored for the following segment junctions: 3/4/16/16a, 5/6/11/12, 11/12a/12b/13, 6/7/9/9a and 7/8/10/10a.
‘Specify which segments are diseased for lesion X’: one should only fill out those segment numbers of the trifurcation that have a Diameter Stenosis ≥50% in direct contact with the trifurcation.
- One lesion
- Trifurcation: ‘Yes’
- 1 diseased segment involved (= segment no.5).
A bifurcation is a division of a main, parent, branch into two daughter branches of at least 1.5mm. Bifurcation lesions may involve the proximal main vessel, the distal main vessel and the side branch according to the Medina classification. The smaller of the two daughter branches should be designated as the ‘side branch’. In case of the main stem either the LCX or the LAD can be designated as the side branch depending on their respective calibres. Bifurcations are only scored for the following segment junctions: 5/6/11, 6/7/9, 7/8/10, 11/13/12a, 13/14/14a, 3/4/16 and 13/14/15.
Bifurcation (Medina) is classified when 50% lumen narrowing occurs within 3 mm of the bifurcation point. Bifurcations are only scored for existing SYNTAX Score segments, i.e. segments that have a segment number. In other words, bifurcation lesions within side branches of the intermediate branch, the diagonal branch, the obtuse marginal branch and the posterolateral branch are considered as bifurcation of second order and not scored.
Example 1
- One lesion
- One segment number involved/diseased (= segment: 7)
- Bifurcation ‘Yes’
- Medina class: 0, 1, 0
Example 2
- One lesion
- Three segment numbers involved/diseased (= segments: 6, 7 and 9)
- Bifurcation ‘Yes’
- Medina class: 1, 1, 1
A lesion is classified as aorto-ostial when it is located within 3 mm of the origin of the coronary vessels from the aorta (applies only to segments 1 and 5, or to 6 and 11 in case of double ostium of the LCA).
One or more bends of 90° or more, or three or more bends of 45° to 90° proximal of the diseased segment.
Estimation of the length of that portion of the stenosis that has ≥50% reduction in luminal diameter in the projection where the lesion appears to be the longest. (In case of a bifurcation lesion at least one of the branches has a lesion length of >20mm).
Multiple persisting opacifications of the coronary wall visible in more than one projection surrounding the complete lumen of the coronary artery at the site of the lesion.
Spheric, ovoid or irregular intraluminal filling defect or lucency surrounded on three sides by contrast medium seen just distal or within the coronary stenosis in multiple projections or a visible embolization of intraluminal material downstream.
Present when at least 75% of the length of any segment(s) proximal to the lesion, at the site of the lesion or distal to the lesion has a vessel diameter of
Note: In case of a Total Occlusion, Diffusely diseased and narrowed segment for this vessel should be scored 'No' since we are not sure about the actual situation prior to total occlusion opening.